Estetica dentale, faccette e sbiancamento
a Sant'Agata Li Battiati (CT)
Estetica
dentale e faccette
Estetica
dentale e faccette
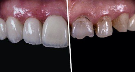
Con le faccette e l’estetica dentale, è possibile avere un sorriso estetico ma anche funzionale, con soluzioni poco invasive. Da dimadent è possibile prenotare il tuo sbiancamento, utile per ravvivare la lucentezza del dente e renderlo visivamente più bianco.
Cosa sono le faccette
Cosa sono le faccette
La tecnica delle faccette fa parte di un’evoluzione tecnologica dei materiali dentali, che si concentra sempre di più sull’ estetica, mantenendo però un’ottima funzionalità. Hanno dei vantaggi importanti tra i quali: permettono di conservare molto più dente sano, sono molto resistenti nel tempo, hanno uno spessore minimo, non presentano rivestimenti metallici all’ interno, caratteristica che permette di rendere la protesi molto naturale.


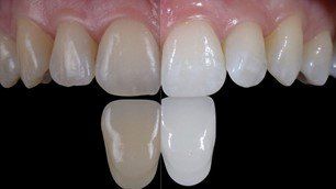
Cos’è lo sbiancamento dentale?
Cos’è lo sbiancamento dentale?
Lo sbiancamento dei denti professionale è un trattamento estetico, che serve a ripristinare il colore dei denti. Viene praticato da dentisti e igienisti specializzati che si avvalgono di strumentazione adeguata e prodotti appositi a base di perossido di idrogeno, per rimuovere i pigmenti che hanno preso sede all’interno dello smalto dentale e della dentina e che sono causa della colorazione alterata della dentatura. L’ effetto sbiancante ha una durata da circa 6 mesi a un anno.



